Candidíase de repetição: como tratar com o Ayurveda
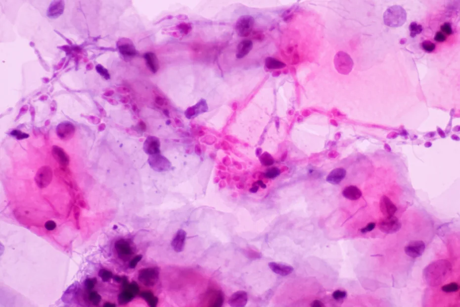
Entenda o que é a candidíase, quais são as causas, como tratar e como evitar recorrências com o Ayurveda e a ciência moderna.
Entenda o que é a candidíase, quais são as causas, como tratar e como evitar recorrências com o Ayurveda e a ciência moderna.